Basel 2BA/ Spongiotische Dermatitis (spongiotisches Reaktionsmuster)

Diagnose
Spongiotische Dermatitis (spongiotisches Reaktionsmuster)
Diagnose Gruppe
Entzündung / Reparatur
Differenzialdiagnose
  • Psoriasis
  • Arzneimittelreaktionen an der Haut
  • Hautlymphome
Topographie Gruppe
Haut
Topographie
Haut, untere Extremität
Einleitung
Definition:
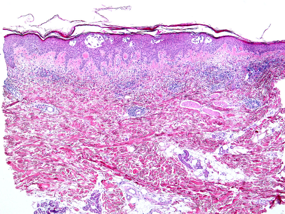
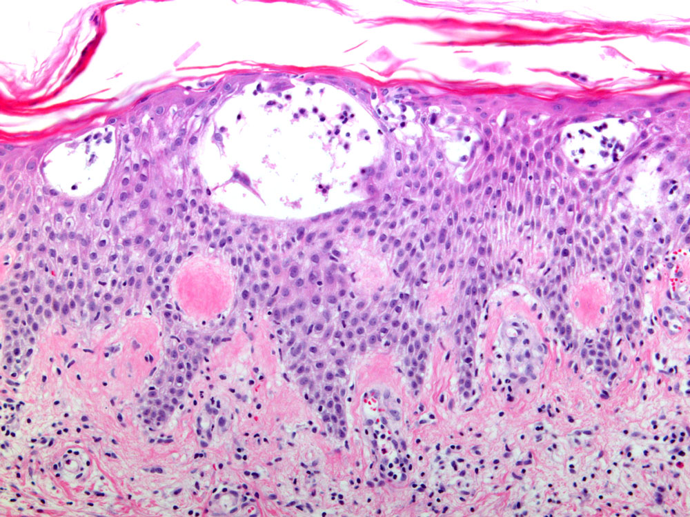
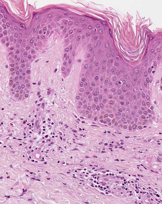
Entzündliche Hautreaktion mit Spongiose. Die Spongiose ist definiert als interzelluläres Ödem von Epidermis und/oder Adnexepithel, erkennbar an der Verbreiterung der Interzellularräume im Epithel. Bei gering ausgeprägter Spongiose stehen benachbarte Keratinozyten über verlängerte Interzellularbrücken noch miteinander in Kontakt, während bei stärkerer Ausprägung die desmosomalen Verbindungen dem Ödem nicht mehr standhalten und rupturieren, so dass sich die Zellen voneinander lösen und ein intraepitheliales Bläschen (spongiotisches Bläschen) entsteht. Dieser Prozess ist Ausdruck einer Entzündungsreaktion, die in der Regel durch Lymphozyten, seltener durch eosinophile oder neutrophile Granulozyten vermittelt wird. Die beteiligten Zellen sind im betroffenen Epithel (lymphozytäre Exozytose) und in der oberen Dermis nachweisbar. Verteilungsmuster und Zusammensetzung der Entzündungszellen können einen Hinweis geben auf die Ursache des spongiotischen Reaktionsmusters. Man unterscheidet klinisch und histopathologisch unterschiedliche Stadien (akut-subakut-chronisch). 

Aetiologie:
Die hauptsächlichen entzündlichen Hauterkrankungen, die mit einem spongiotischen Reaktionsmuster einhergehen sind die Kontaktallergie, das toxische Ekzem, das Austrocknungsekzem, das seborrhoische Ekzem, das atopische Ekzem (Neurodermitis) und das mikrobielle Ekzem. Eine entzündliche Spongiose kommt ausserdem auch vor bei Dermatophytosen (Pilzinfektion), Arthropodenbissreaktionen, Arzneimittelexanthemen u.a. 

Makroskopische Befunde:
Ekzeme sind meist stark juckende Hautveränderungen, die sich klinisch akut und subakut mit Bläschen auf geröteter Haut, später im chronischen Stadium mit krustösen Auflagerungen, Hautverdickung (Lichenifikation mit Vergröberung der Hautfelderung) und Schuppung präsentieren. 
 
Mikroskopische Befunde:
Histologisch zeigen akute Ekzeme eine ausgeprägte Spongiose mit intraepithelialer Bläschenbildung, eine Parakeratose und Krustenauflagerungen, im chronischen Stadium eine Verminderung der Spongiose, eine Akanthose und Hyperparakeratose. Bei alten Läsionen können Parakeratosehügel und eine Epidermishyperplasie der einzige Hinweis auf eine spongiotische Dermatitis sein. Die Epidermishyperplasie ist teilweise eine Folge des chronischen Reibens und Kratzens der juckenden Haut. Das Entzündungsinfiltrat in der oberen Dermis besteht aus Lymphozyten und Histiozyten, zum Teil auch aus neutrophilen und eosinophilen Granulozyten. In der Epidermis dominieren Lymphozyten (lymphozytäre Exozytose). Akute, subakute und chronische Veränderungen können beim gleichen Patienten nebeneinander vorkommen.

Update 2. September 2020

Klinik
Epidemiologie:
Ekzeme treten häufig auf. Neben toxischen oder kontaktallergischen Ekzemen sind das mikrobielle Ekzem, das atopische Ekzem und das seborrhoische Ekzem bekannt. Sie lassen sich klinisch anhand der Morphe und der unterschiedlichen Prädilektionsstellen unterscheiden. Da viele unterschiedliche Ursachen mit einem spongiotischen Reaktionsmuster der Haut einhergehen können, ist es beim Vorliegen einer spongiotischen Dermatitis oft nicht einfach, eine spezifische klinisch-pathologische Diagnose zu stellen. Eine genaue Beschreibung der klinischen Präsentation und die Angabe einer klinischen Verdachtsdiagnose ist unabdingbar, um die möglichen Differentialdiagnosen näher eingrenzen zu können.

Symptome:
Toxische Ekzeme brennen, kontaktallergische Ekzeme jucken meist stark. Grundsätzlich ist das Leitsymptom bei Ekzemen der Juckreiz.

 Therapie:
 Rückfettende Hautpflege und topische Kortisontherapie bei hoher Akuität.
 
 Verlauf:
 Seborrhoische und atopische Ekzeme können rezidivieren und gelten als eher chronische Ekzemleiden. 

Update 2. September 2020

Morphologie
Morphologische Merkmale: 
  • Verdickte Epidermis (Akanthose) 
  • Spongiose (interzelluläres Ödem der Epidermis) 
  • Spongiotische Vesikel (intraepitheliale Bläschenbildung) 
  • Parakeratotische Verhornung (Verhornte Zellen mit erkennbaren Zellkernen) 
  • Ödem der papillären Dermis (Aufhellung) 
  • Oberflächlich dermales perivaskulär betontes Entzündungsinfiltrat 
  • Lymphozyten, Histiozyten, neutrophile und eosinophile Granulozyten 

Das sollte der Kliniker dem Pathologen mitteilen: 
  • Makroskopischer Befund und Verteilung der Hautveränderungen 
  • Dauer und mögliche Auslöser 
  • Therapie 
Makroskopie
Virtuelles Präparat
Befund
Pathologischer Befund
Normalbefund
Datum
Ersteintrag: 17.11.2018
Update: 04.02.2024