Einleitung
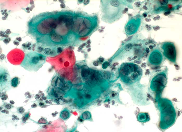
Das Herpes simplex Virus führt zu typischen Veränderungen bei den infizierten Plattenepithelien. Durch die intranukleäre Anhäufung von Viruspartikeln geht die Granulierung des Chromatins verloren und die Zellkerne erscheinen milchglasartig grau. Im Verlauf verdichtet sich das Virusmaterial zu kompakten Einschlüssen und das Kernchromatin ist in kleinen Klumpen entlang der Kernmembran abgelagert. Infolge der infektbedingten Teilungsstörung entwickeln sich mehrkernige Riesenzellen, deren Kerne in der Zellmitte backsteinartig aneinandergelagert sind.