Einleitung
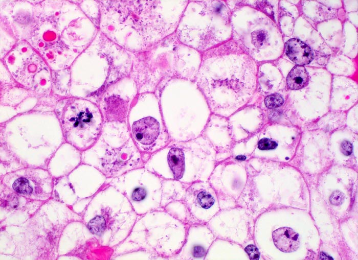
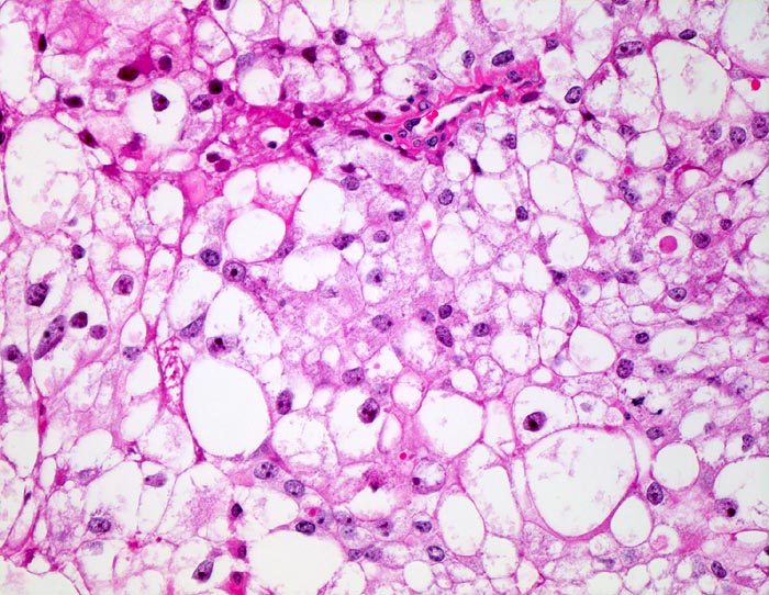
Typisch für das Nierenzellkarzinom sind relative grosse ein- oder mehrkernige atypische Zellen mit exzentrisch gelegenem Zellkern, plumpen Nukleolen und vakuolisiertem Zytoplasma. Der zytologische Nachweis wird dadurch erschwert, dass die Zellen auf ihrem Weg in die Harnblase degenerieren. Der Kern ist oftmals pyknotisch und das Zytoplasma in Auflösung und eosinophil granuliert. Differentialdiagnostisch muss an Tubulus- oder Sammelrohrepithelien gedacht werden.