Einleitung
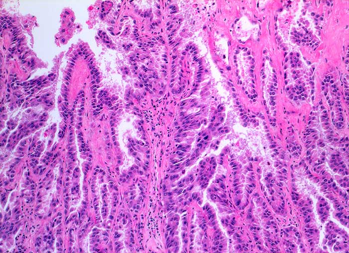
Adenokarzinome der Lunge lassen sich von Adenokarzinomen anderer Primärlokalisation zytologisch nicht unterscheiden. Die Zellen sind meist grösser als Mesothelien und die Kernatypien deutlich ausgeprägt. Falls die Lokalisation des Primärtumors nicht bekannt ist, kann eine immunzytochemische Untersuchung mit TTF1, CK7 und CK20 weiterhelfen. Über 70% der Adenokarzinome der Lunge sind TTF1 positiv. Bei TTF1 Positivität der Tumorzellen sollte ein Schilddrüsenkarzinom ausgeschlossen werden.
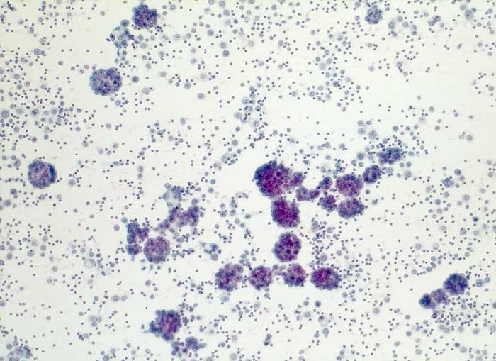
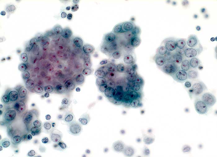
Unten gezeigt werden zwei verschiedene Fälle.