n/ BK Virus: Decoy Zellen

Diagnose
BK Virus: Decoy Zellen
Diagnose Gruppe
Entzündung infektiös
Differenzialdiagnose
Topographie Gruppe
Niere, Harnwege
Topographie
Urin
Einleitung
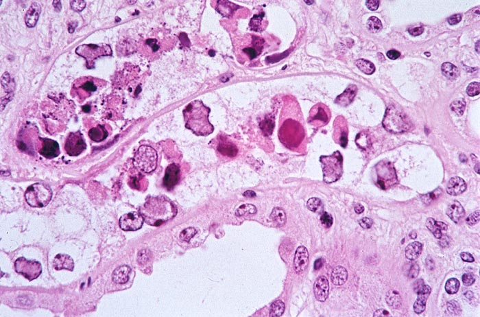
Die Typen BK und JC des Polyomavirus sind für den Menschen pathogen. Das JC Virus verursacht die progressive multifokale Leukenzephalopathie. Das BK Virus persistiert in der Niere, ohne eine manifeste Erkrankung hervorzurufen. Bei Immunsupprimierten kann es zu einer klinisch manifesten Infektion der Nieren kommen. Nukleäre Viruseinschlusskörper finden sich in solchen Fällen im Epithel der Sammelrohre und im Epithel anderer Tubulusabschnitte und im Urothel von Nierenbecken und Ureter. Gehäuft tritt der Niereninfekt unter Immunsuppression mit Tacrolimus auf. Die Urinzytologie stellt die einfachste Nachweismethode dar. Die Polyomavirus-infizierten Decoy-Zellen (=Lockvogelzellen wegen Verwechslungsmöglichkeit mit atypischen Zellen) enthalten einen milchglasartigen Kern. Das Chromatin ist grobschollig und and die Kernmembran gedrängt. Bei drohender Transplantatabstossung ist zusätzlich die Zahl der tubulären Zellen im Urin deutlich erhöht.
Klinik
-
Normalbefund
Morphologie
Makroskopie
Virtuelles Präparat
Befund
Pathologischer Befund
Normalbefund
Literatur
Datum
Ersteintrag: 01.04.2003
Update: 04.02.2024