p/ Struma

Diagnose
Struma
Diagnose Gruppe
Hyperplasie / Hypertrophie
Differenzialdiagnose
Topographie Gruppe
Endokrinium
Topographie
Schilddrüse
Einleitung
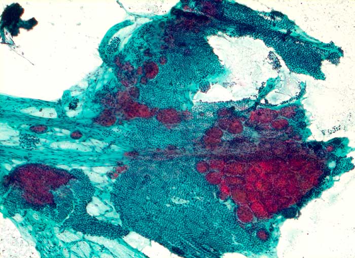
Strumaknoten sind meistens multipel und makrofollikulär. Strumaknoten können regressive Veränderungen zeigen in Form von Zystenbildung mit oder ohne Einblutungen, fokaler Fibrose oder Verkalkungen.
Bei follikulären Läsionen gelten folgende grobe Regeln: Viel Kolloid, wenig Zellen und Makrofollikel sprechen für eine nicht neoplastische Struma. Wenig Kolloid, zellreicher Ausstrich und Mikrofollikel sprechen für eine neoplastische Läsion. Da die Zellularität stark von der Punktionstechnik abhängt, können aufgrund der oben formulierten Regeln keine exakten Diagnosen, sondern lediglich Aussagen zur Wahrscheinlichkeit des Vorliegens einer bestimmten Läsion abgegeben werden.
Grosse Kolloidmengen, ein regelmässiges honigwabenartiges Muster flächenhafter Zellverbände und grosse Follikel sind die mikroskopischen Merkmale eines gutartigen Strumaknotens.
Die Bilder von vier Patienten zeigen eine makrofollikuläre Struma, einen hämorrhagischen Strumaknoten und eine Strumazyste mit und ohne entzündliche Veränderungen.
Klinik
-
Normalbefund
Morphologie
Makroskopie
Virtuelles Präparat
Befund
Pathologischer Befund
Normalbefund
Literatur
Datum
Ersteintrag: 13.04.2003
Update: 04.02.2024