p/ Reaktive Lymphadenitis

Diagnose
Reaktive Lymphadenitis
Diagnose Gruppe
Entzündung infektiös
Differenzialdiagnose
Topographie Gruppe
Lymphatische Gewebe, KM, Milz
Topographie
Lymphknoten, Kopf-cervikal
Einleitung
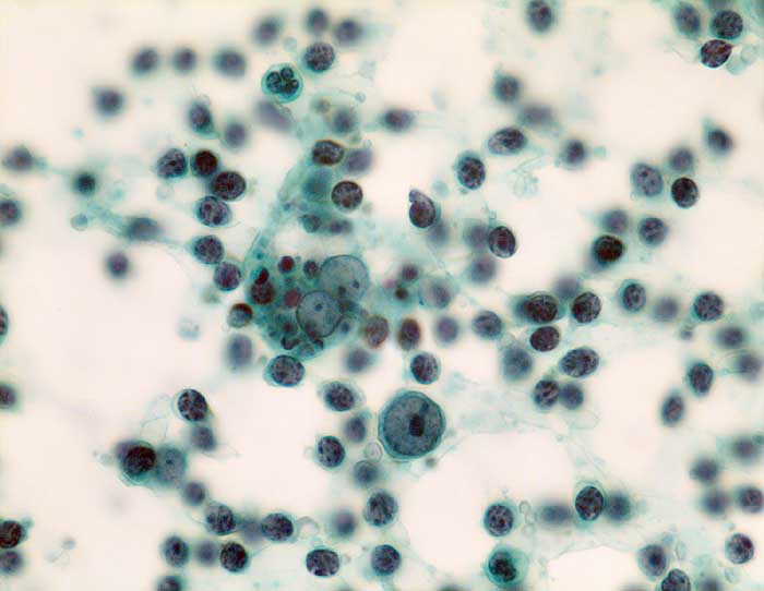
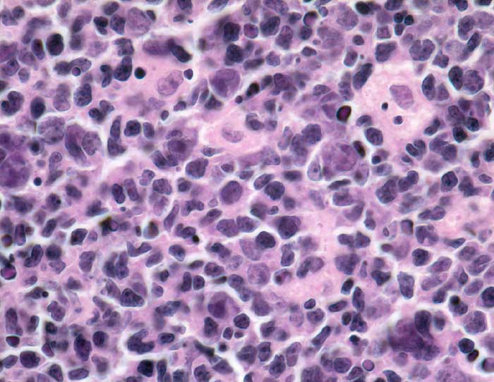
Entzündungen jeglicher Ursache führen zu einer Reaktion der Lymphknoten im Abflussgebiet. Lymphknotenvergrösserungen aufgrund einer reaktiven hyperplastischen Lymphadenitis sind besonders häufig in den ersten zwei Lebensdekaden.
Ein buntes Zellbild ist typisch für die reaktive hyperplastische Lymphadenitis. Neben kleinen Lymphozyten sind viele Zentrozyten und Zentroblasten aus aktivierten Keimzentren, sowie Kerntrümmermakrophagen nachweisbar. Letztere beweisen keinesfalls die Gutartigkeit der Veränderung. Daneben findet man auch neutrophile Granulozyten und Plasmazellen.
Klinik
-
Normalbefund
Morphologie
Makroskopie
Virtuelles Präparat
Befund
Pathologischer Befund
Normalbefund
Literatur
Datum
Ersteintrag: 01.04.2003
Update: 04.02.2024