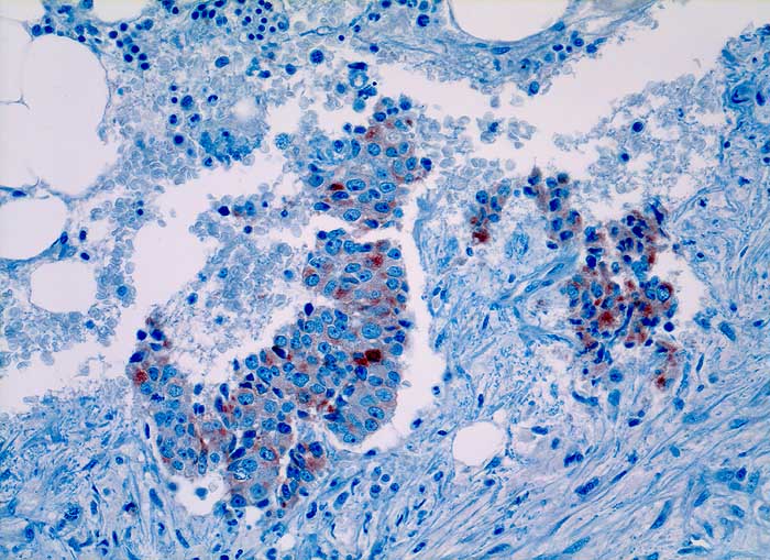
PSA (Prostata spezifisches Antigen)
- Anfärbung:
- Zytoplasma
- Reaktion im Normalgewebe:
- Epithelzellen von Azini und Gängen der Prostata. Samenblase (33%).
- Reaktion in Neoplasien:
- 100% der hochdifferenzierten und 95% der wenig differenzierten Adenokarzinome der Prostata sind PSA positiv.
- Diagnostischer Nutzen:
- Nachweis von Metastasen eines Prostatakarzinoms zusammen mit saurer Prostata Phosphatase (letztere ist in wenig differenzierten Tumoren oft sensitiver).
Diagnose und Überwachung des Prostatakarzinoms (Serumwert).