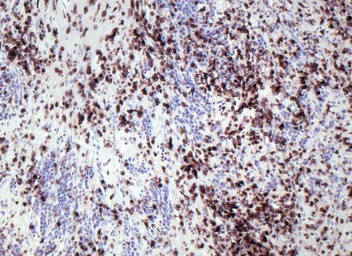
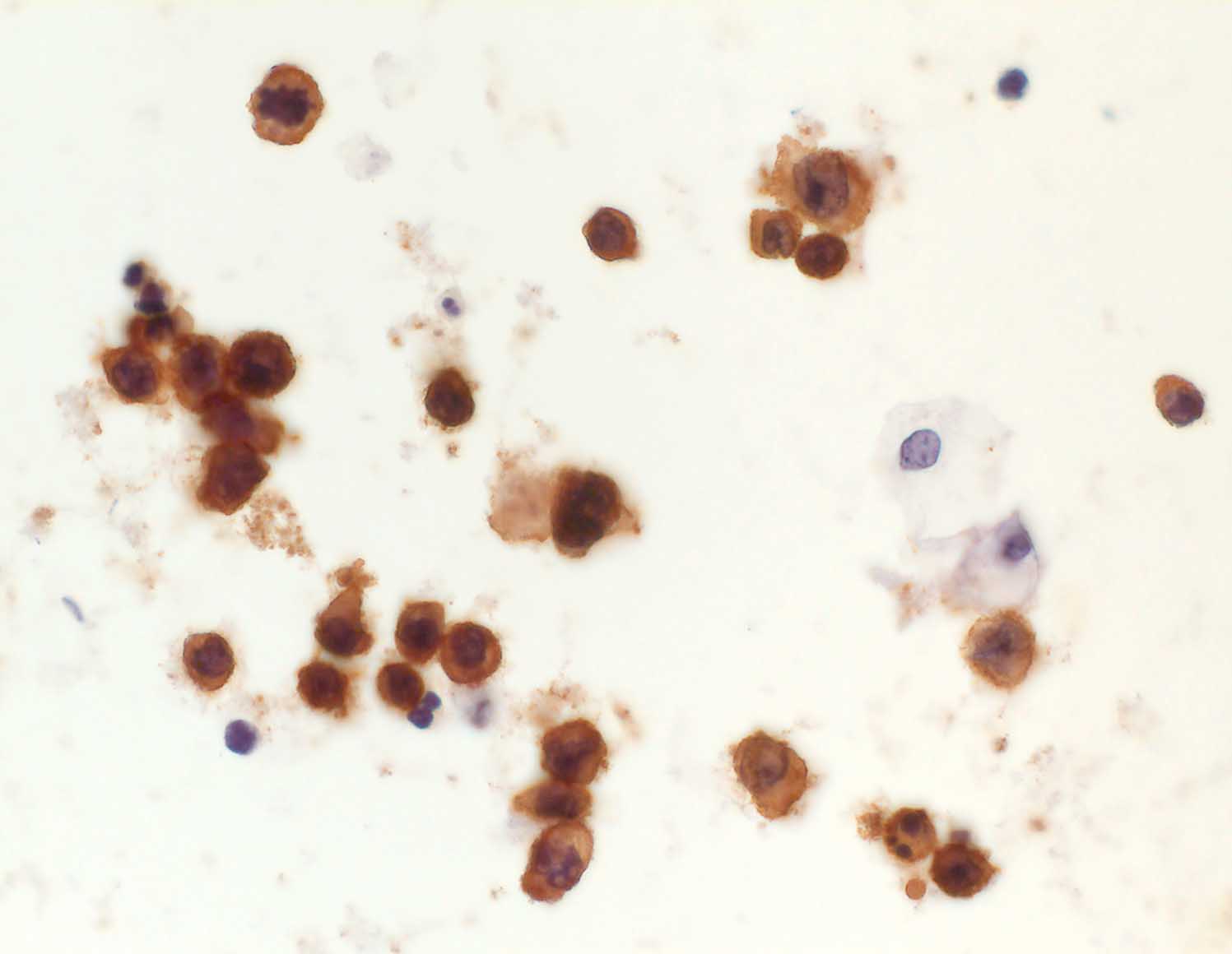
CD45 (leucocyte common antigen, LCA)
- Anfärbung:
- Zellmembran
- Reaktion im Normalgewebe:
- Fast alle haematolymphoiden Zellen sind positiv: T-Lymphozyten, B-Lymphozyten, Granulozyten, Monozyten, Makrophagen.
- Reaktion in Neoplasien:
- 93-99% aller Lymphome sind positiv. Einzelne high grade Lymphome sind CD45 negativ und CD20 positiv.
CD45 ist ausserdem in folgenden Tumoren häufig positiv:
- Anaplastisch grosszellige Lymphome 50-87%
- Hodgkin Lymphom, Lymphozyten prädominanter Subtyp
- Plasmozytom/multiples Myelom (<50%)
- T-Zell ALL
- B-Zell ALL (80%)
- Haarzellleukämie
- Langerhanszellhistiozytose
- Selten positiv in Rhabdomyosarkomen
- Diagnostischer Nutzen:
- Abgrenzung von Lymphomen von anderen kleinen blauen und rundzelligen Tumoren
Unterscheidung von kleinzelligen Karzinomen und Lymphomen