l/
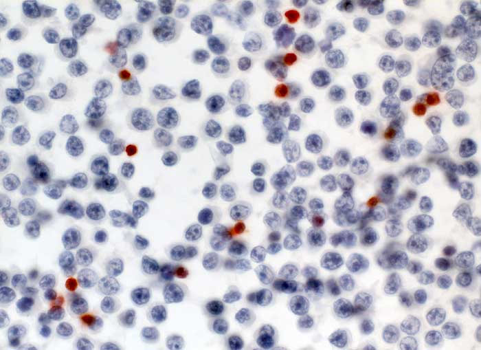
CD3
Einleitung
CD3
- Anfärbung:
- Zellmembran
- Reaktion im Normalgewebe:
- Pan T-Zell Marker positiv in Thymozyten, ruhenden und aktivierten T Lymphozyten. Negativ in B Lymphozyten, Makrophagen und myeloischen Zellen.
- Reaktion in Neoplasien:
- T-Zell ALL und T-Zell Lymphome positiv. Einige Fälle von Mycosis fungoides, pleomorphen Lymphomen und anaplastischen grosszelligen Lymphomen können CD3 negativ sein.
- Diagnostischer Nutzen:
- Identifikation von nicht neoplastischen und neoplastischen T Lymphozyten und natürlichen Killerzellen.
Positiv in der T-Zell ALL.
Wird meist in Kombination mit dem B-Zell Marker CD20 angewendet.
Befund
Pathologischer Befund
Normalbefund
Datum
Ersteintrag: 13.04.2003
Update: 04.02.2024