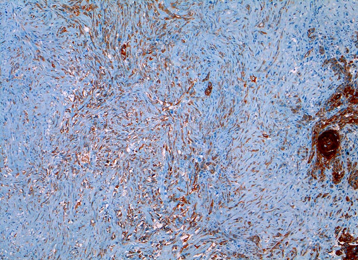
CK22 und Lu-5 repräsentieren Zytokeratingemische, welche einen Grossteil normaler und neoplastischer Epithelzellen anfärben.
Reaktion in Neoplasien:
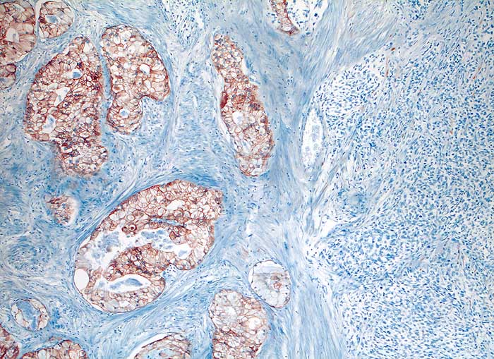
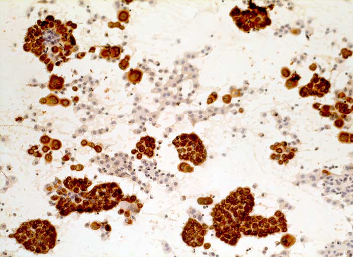
Die meisten Karzinome und vereinzelte Sarkome reagieren positiv mit diesen Panzytokeratinen. CK22 ist etwas sensitiver und spezifischer als Lu-5. Entdifferenzierte oder sarkomatoide Karzinome können die Positivität für Zytokeratine verlieren.
Diagnostischer Nutzen:
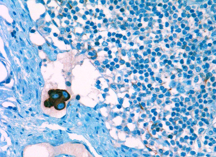
Suchantikörper zur Abgrenzung von Karzinomen von Lymphomen, Sarkomen und malignen Melanomen. Identifikation von Karzinommikrometastasen in Lymphknoten.