Hep Par 1 (Hepatocyte Paraffin 1)
- Anfärbung:
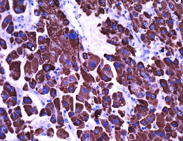
- Zytoplasma grob granulär ohne canaliculäre Akzentuierung.
- Reaktion im Normalgewebe:
- Nicht neoplastische Hepatozyten sind diffus positiv. Regenerative Knoten zeigen eine heterogene Anfärbung. Normale Dünndarmschleimhaut kann fokal stark positiv sein. Alle anderen Normalgewebe sind negativ.
- Reaktion in Neoplasien:
- Hepatozelluläre Karzinome färben sich heterogener an als das Normalgewebe. Die Anfärbung korreliert nicht mit dem Differenzierungsgrad. Kombinierte hepatozelluläre und cholangiozelluläre Karzinome sind lediglich in der hepatozellulären Komponente positiv.
Gallenwegskarzinome, Pankreaskarzinome und Magenkarzinome sind selten positiv.
- Diagnostischer Nutzen:
- Unterscheidung des hepatozellulären Karzinoms vom cholangiozellulären Karzinom und von Lebermetastasen.