l/
bcl-2
Einleitung
bcl-2
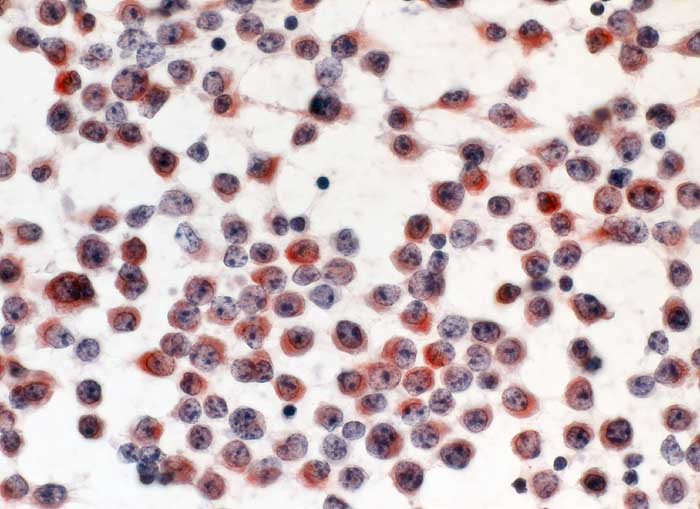
- Anfärbung:
- Zytoplasma
- Reaktion im Normalgewebe:
- Das bcl-2 Protein ist ein Apoptose Inhibitor. Bcl-2 wird von kleinen Lymphozyten der normalen Mantelzone und von vielen T-Zellen exprimiert. Normale und reaktive Keimzentren sind negativ für bcl-2. Viele Zellen im Thymusmark aber nur wenige in der Thymusrinde exprimieren bcl-2.
- Reaktion in Neoplasien:
- Bcl-2 wird in 85% der follikulären Lymphome und 20% der diffusen grosszelligen B-Zell Lymphome exprimiert.
Bcl-2 ist ausserdem in folgenden Tumoren häufig positiv:
- kleinzellige B-Zell Lymphome
- Solitärer fibröser Tumor
- Synovialsarkom
- Neurofibrom
- Schwannom
- Hämangioperizytom
- Kaposi Sarkom
- Nasopharyngeales Karzinom
- Diagnostischer Nutzen:
- Unterscheidung des follikulären Lymphoms von einer reaktiven follikulären Hyperplasie: In reaktiven Keimzentren sind lediglich einzelne T Zellen positiv. Die Keimzentren follikulärer Lymphome sind diffus bcl-2 positiv. Bcl-2 eignet sich jedoch nicht zur Unterscheidung verschiedener Lymphome voneinander, da zahlreiche kleinzellige B-Zell Lymphome bcl-2 exprimieren.
Eine bcl-2 Expression ist assoziiert mit einer besseren Prognose bei vielen Karzinomen. Es besteht eine inverse Beziehung zur p53 Überexpression.
Der Grad einer zervikalen intraepithelialen Neoplasie korreliert invers mit dem Anteil bcl-2 positiver Zellen.
Befund
Pathologischer Befund
Normalbefund
Datum
Ersteintrag: 13.04.2003
Update: 04.02.2024