Einleitung
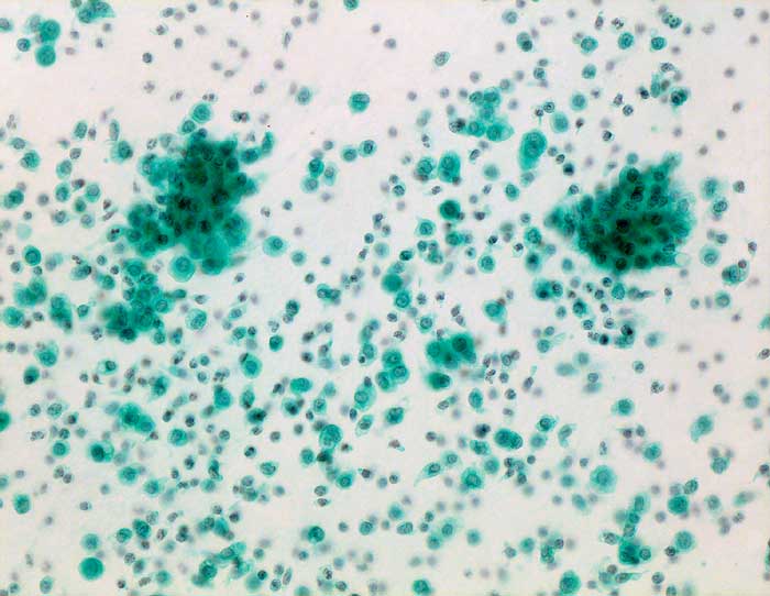
Mesothelzellen können Tumoren imitieren, indem sie kleine Gruppen, Pseudoverbände, Zellballen, Pseudopapillen, "cell in cell" und "Indian files" ausbilden. Unter reaktiven Bedingungen kommen sehr grosse und mehrkernige Mesothelzellen vor. Durch Ausbildung von grossen intrazytoplasmatischen Vakuolen können reaktive Mesothelien ein Siegelringzellkarzinom imitieren.