pit/ Reaktive Atypien des Bronchialepithels

Diagnose
Reaktive Atypien des Bronchialepithels
Diagnose Gruppe
Präneoplasie/ Atypie/ Dignität?
Differenzialdiagnose
Topographie Gruppe
Lunge, Mediastinum mit Thymus
Topographie
Lunge
Einleitung
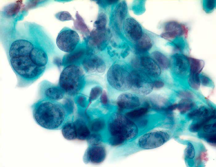
Jede Infektion oder entzündliche Prozess (Bsp. Lungeninfarkt) kann zu reparativen Atypien in benignen Zellen (Bronchialepithelien und Pneumozyten) führen, die ein Karzinom imitieren können. Für reaktive Atypien sprechen ein Überwiegen von Entzündungszellen, der Nachweis von Erregern und lediglich eine geringe Anzahl stark atypischer Zellen. Typisch für reaktive Läsionen ist auch ein Spektrum von Atypien, welches von praktisch normal bis bizarr reicht. Ein weiterer Hinweis für die Gutartigkeit ist der Erhalt des Zellzusammenhaltes und nur wenige einzeln liegende atypische Zellen. Plattenepithelmetaplasie und Siderophagen weisen ebenfalls auf einen reaktiven Prozess hin. Es gilt zu bedenken, dass Tumoren ihrerseits reaktive Veränderungen hervorrufen können und im gleichen Ausstrich nicht selten Karzinomzellen und reaktiv atypische Zellen nebeneinander vorhanden sind.
Das erste Beispiel zeigt ein Bronchialsekret und das zweite eine Bronchialbürste mit reaktiv veränderten Bronchialepithelien. Das dritte zeigt reaktive Epithelien neben Zellen eines Adenokarzinoms.
Klinik
-
Normalbefund
Morphologie
Makroskopie
Virtuelles Präparat
Befund
Pathologischer Befund
Normalbefund
Literatur
Datum
Ersteintrag: 13.04.2003
Update: 04.02.2024