Pathopic
HiPaKu
ZyPaKu
PathoBasic
PathoBasic Cytology
Quizzes
Projektinfos
PathoPic - Projekt- und Copyright-Infos
About
Pathopic
HiPaKu
ZyPaKu
PathoBasic
PathoBasic Cytology
Quizzes
pit/ Zervixmetastase eines Kolonkarzinoms
Diagnose
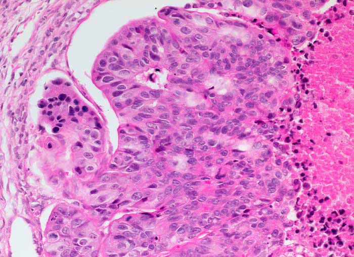
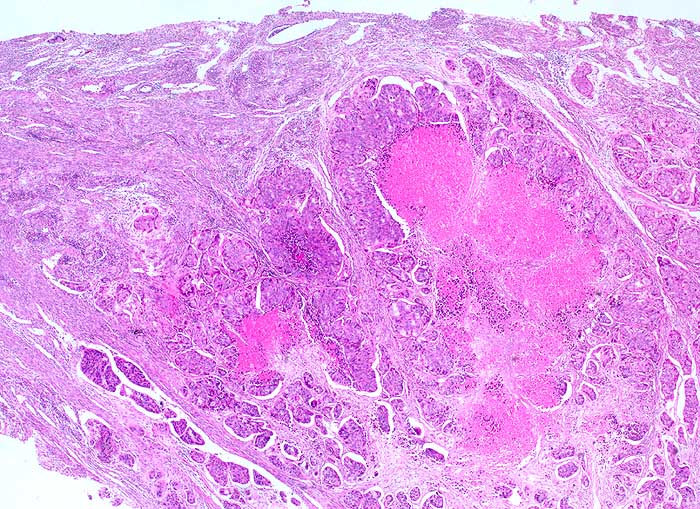
Zervixmetastase eines Kolonkarzinoms
Diagnose Gruppe
maligner Tumor
Differenzialdiagnose
Topographie Gruppe
Mamma
Topographie
Zervix
Einleitung
Eine für die Lokalisation atypische Morphologie eines Tumors sollte immer an die Möglichkeit einer Metastase denken lassen. Im Zweifelsfall lohnen sich eine Rückfrage beim Kliniker und das Studium aller Vorbefunde.
Klinik
-
Normalbefund
Morphologie
Makroskopie
Virtuelles Präparat
Befund
Pathologischer Befund
Normalbefund
Literatur
Datum
Ersteintrag: 13.04.2003
Update: 04.02.2024
CPS
·
©
2024 Institut für Pathologie Basel
/
Dr. med. Katharina Glatz-Krieger
.
·
v2.1