Einleitung
Definition:
Die Meningitis ist eine Entzündung der Leptomeningen und des Subarachnoidalraums.
Aetiologie:
Als Verursacher einer eitrigen bakteriellen Meningitis kommen vor allem Pneumokokken (ausser bei Säuglingen), und Meningokokken (kleinere Epidemien unter jungen Erwachsenen) in Frage. Seltener sind Gruppe B Streptokokken (Neugeborene), Listerien (Neugeborene, ältere Patienten und Immunsupprimierte) und Haemophilus influenzae (ungeimpfte Kinder und Erwachsene). Unter den bakteriellen Pathogenen verursachen die Pneumokokken die höchsten Mortalitätsraten (21%).
Morphologie:
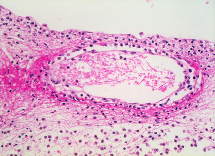
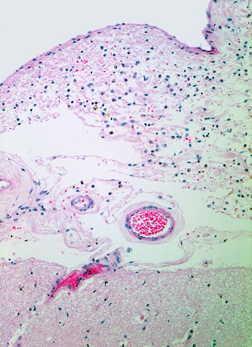
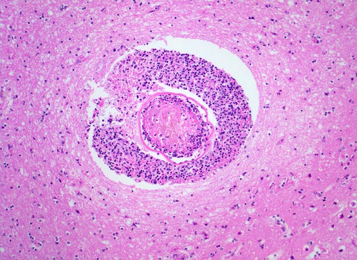
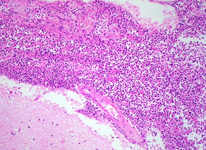
Der makroskopische Befund bei bakterieller Meningitis kann sehr diskret sein. Die meningealen Gefässe sind hyperämisch und die Hirnoberfläche wird von einem grüngelben Eiterbelag bedeckt (eher basal bei Hämophilus influenzae, eher über der Konvexität bei Pneumokokken=Haubenmeningitis). Histologisch ist der Subarachnoidalraum mit Eiter gefüllt. Bei weniger schweren Fällen finden sich die neutrophilen Granulozyten bevorzugt um die leptomeningealen Gefässe.
Klinik
Vorkommen:
Die Inzidenz beträgt 4-6 Fälle pro 100'000 Einwohner pro Jahr. Vor allem Patienten unter 5 und über 60 Jahre sind von einer bakteriellen Meningitis betroffen, wenn man die vor allem bei Jugendlichen auftretende Meningokokkenmeningitis ausnimmt.
Symptomatik:
Die Symptomatik kann akut, subakut oder chronisch sein. Die klassische Trias Fieber, Nackensteifigkeit (ausser bei Kindern unter einem Jahr und bei eingetrübtem Bewusstsein) und Bewusstseinsstörung findet sich nur bei 44% aller Patienten. Fast alle Patienten haben aber mindestens 2 der folgenden 4 Symptome: Kopfschmerzen, Fieber, Nackensteifigkeit oder Glasgow Coma Scale <14. Weitere Symptome sind Photophobie, Erbrechen, epileptische Anfälle oder fokal neurologische Symptome. Akut verlaufende Meningitiden mit einer Symptomatik von weniger als 24 Stunden sind meist bakterieller Ätiologie. Diese schwer kranken Patienten zeigen Zeichen einer menigealen Entzündung und systemische Infektzeichen. Sie können rasch dekompensieren und brauchen unter Umständen innerhalb einer halben Stunde eine adäquate antibiotische Therapie. 25% der Patienten mit bakterieller Meningitis präsentieren sich akut. Andere Patienten mit bakterieller Meningitis und die meisten mit viraler Meningitis zeigen einen subakuten Verlauf über 1 bis 7 Tage. Die subakuten Verläufe sind nicht immer einfach zu diagnostizieren. Auch hier stellt die Untersuchung des Liquors einen entscheidenden diagnostischen Schritt dar. Chronische, länger als eine Woche dauernde Verläufe sieht man bei Viren, Tuberkulose, Syphilis, Pilzen (vor allem Cryptococcus neoformans) und Meningeosis carcinomatosa.
Diagnostik:
Eine Lumbalpunktion zum Erregernachweis und zur Bestimmung der optimalen antibiotischen Therapie sollte bei jeder akuten Meningitis durchgeführt werden (Cave Hirndrucksymptomatik bei Ödem). Der zytologische Nachweis von Tumorzellen im Liquor ermöglicht die Diagnose einer Meningeosis carcinomatosa.
Therapie:
Die antibiotische Therapie sollte so schnell wie möglich begonnen werden.