Diagnose
Nebenschilddrüsenadenom
Diagnose Gruppe
benigner Tumor
Topographie
Nebenschilddrüse
Topographie Gruppe
Endokrinium
Beschreibung
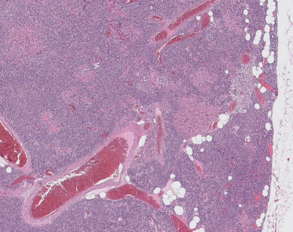
Das scharf begrenzte Adenom besteht überwiegend aus Hauptzellen und Nestern onkozytärer Zellen. Nur sehr wenig Fettzellen. Reste einer atrophen Nebenschilddrüse sind nicht erkennbar.
Klinik
Primärer Hyperparathyreoidismus.
Kommentar
Rein histologisch ist der Befund nicht von einer Nebenschilddrüsenhyperplasie abgrenzbar. Nur zusammen mit der klinischen Angabe einer einzelnen vergrösserten Nebenschilddrüse und eines primären Hyperparathyreoidisimus lässt sich die Diagnose eines Nebenschilddrüsenadenoms stellen.
Datum
Ersteintrag: 16.12.2008
Update: 04.02.2024