PathoPic – image database / PathoPic ID 886 - Galleinfarkt bei extrahepatischem Verschlussikterus

de
Diagnose
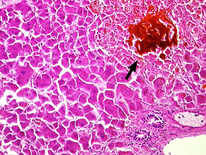
Galleinfarkt bei extrahepatischem Verschlussikterus
Diagnose Gruppe
organspezifische Erkrankung
Topographie
Leber
Topographie Gruppe
Leber, Gallenwege, Pankreas
Beschreibung
Gallig durchtränkte Gruppennekrose. Rechts unten ist ein Portalfeld angeschnitten.
Klinik
Choledocholithiasis.
Bilder Typ
Histologie
Geschlecht
weiblich
Datum
Ersteintrag: 22.11.2001
Update: 04.02.2024