PathoPic – image database / PathoPic ID 1010 - Marginalzonenlymphom vom MALT Typ: Lymphoepitheliale Läsion

de
Diagnose
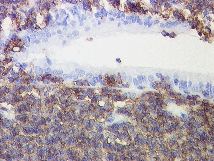
Marginalzonenlymphom vom MALT Typ: Lymphoepitheliale Läsion
Diagnose Gruppe
maligner Tumor
Topographie
Lunge
Topographie Gruppe
Lunge, Mediastinum mit Thymus
Beschreibung
In der Bronchialschleimhaut Gruppen von mehr als 5 Lymphomzellen. Diese reagieren positiv mit dem B-Zell Marker CD20. Die subepithelial gelegenen Lymphomzellen reagieren ebenfalls positiv.
Klinik
Verdacht auf peripheres Lungenkarzinom. Peripherer Rundherd als einzige Tumormanifestation im CT.
Kommentar
Altersgipfel pulmonaler MALT Lymphome 6.-7. Dekade. Meist solitärer Rundherd, weniger häufig multinodulärer Befall und Pleuraerguss. Bei der Mehrzahl Stadium IE initial. Sehr indolenter Verlauf mit günstigster Prognose aller extranodalen Marginalzonen Lymphome.
Bilder Typ
Histologie
Immunhistochemie
CD20 (L26)
Alter
73
Geschlecht
unbekannt
Datum
Ersteintrag: 28.11.2001
Update: 04.02.2024