Multiple Sklerose: subakuter Demyelinisierungsherd des Marks
Diagnose Gruppe
Entzündung / Reparatur
Topographie
Hirn parietal
Topographie Gruppe
Nervensystem
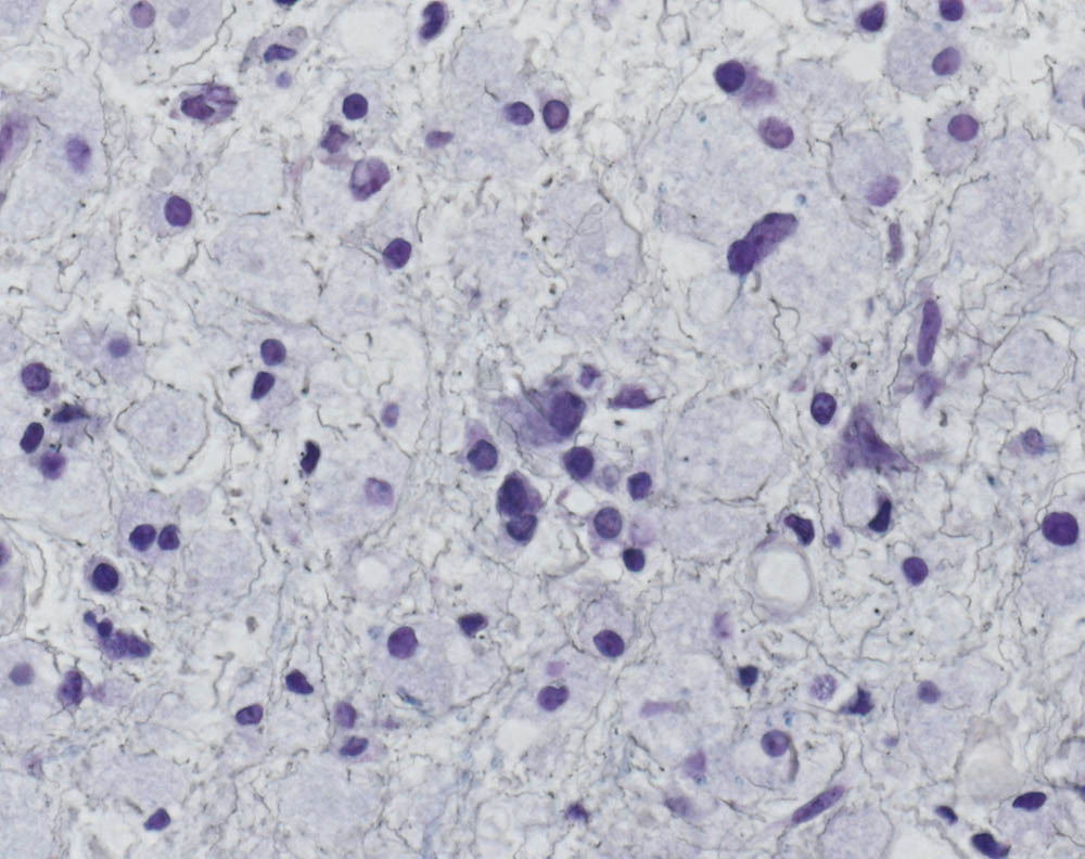
Beschreibung
Entmarkungsprozess, welcher durch äusserst zahlreiche Makrophagen charakterisiert ist, welche zum Teil Myelindebris enthalten. Durch den Entmarkungsherd ziehen zahlreiche, sogenannt nackte, d.h. entmarkte, Axone.
Klinik
Multifokale Marklager-Auffälligkeiten in der T2 gewichteten Magnetresonanztomographie des Schädels. DD: Multiple Sklerose, Tumor.