Pathopic
HiPaKu
ZyPaKu
PathoBasic
PathoBasic Cytology
Quizzes
Projektinfos
PathoPic - Projekt- und Copyright-Infos
About
Pathopic
HiPaKu
ZyPaKu
PathoBasic
PathoBasic Cytology
Quizzes
PathoPic – image database
/
PathoPic ID 10239 - Uterines Leiomyosarkom
de
Diagnose
Uterines Leiomyosarkom
Diagnose Gruppe
maligner Tumor
Topographie
Uterus
Topographie Gruppe
Genitalorgane, weiblich
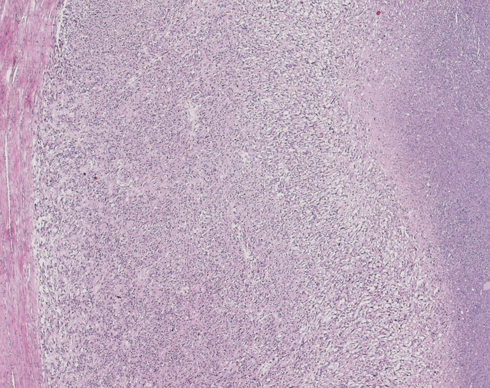
Beschreibung
Links im Bild ein schmaler Saum
Myometrium. Das
Sarkom ist relativ scharf davon abgegrenzt und deutlich Zellreicher. Rechts im Bild
Tumornekrose.
Zusatzbefund
Durchmesser 16cm. 28 Mitosen/10 HPF. Tumornekrosen >50%. Gefässinvasion.
Klinik
Uterus myomatosus
Bilder Typ
Histologie
Vergrösserung
25
Alter
50
Geschlecht
unbekannt
Datum
Ersteintrag: 23.04.2009
Update: 04.02.2024
CPS
·
©
2024 Institut für Pathologie Basel
/
Dr. med. Katharina Glatz-Krieger
.
·
v2.1