PathoPic – image database / PathoPic ID 1024 - Gastrointestinaler Stromatumor (GIST)

de
Diagnose
Gastrointestinaler Stromatumor (GIST)
Diagnose Gruppe
benigner Tumor
Topographie
Dünndarm
Topographie Gruppe
Darm, Anus
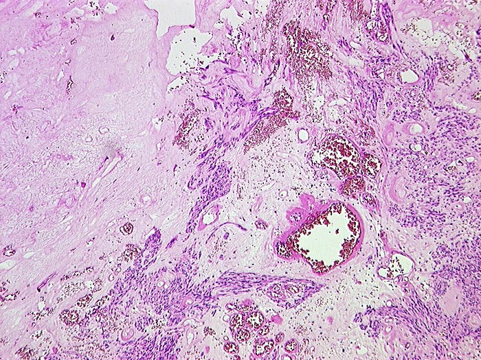
Beschreibung
Spindelzelliger Tumor. Grössere degenerative praktisch zellfreie Sklerosezonen mit grösseren Gefässen und Zystenbildung.
Zusatzbefund
Tumordurchmesser 4.5cm. Aktin und CD 117 positiv. Morphologische Ähnlichkeiten mit einem Leiomyom mit degenerativen Veränderungen (Sklerosierung, Zystenbildung). Kaum Mitosen. Keine Nekrosen.
Klinik
Kein extraintestinaler Tumor.
Bilder Typ
Histologie
Alter
79
Geschlecht
männlich
Datum
Ersteintrag: 28.11.2001
Update: 04.02.2024