Pathopic
HiPaKu
ZyPaKu
PathoBasic
PathoBasic Cytology
Quizzes
Projektinfos
PathoPic - Projekt- und Copyright-Infos
About
Pathopic
HiPaKu
ZyPaKu
PathoBasic
PathoBasic Cytology
Quizzes
PathoPic – image database
/
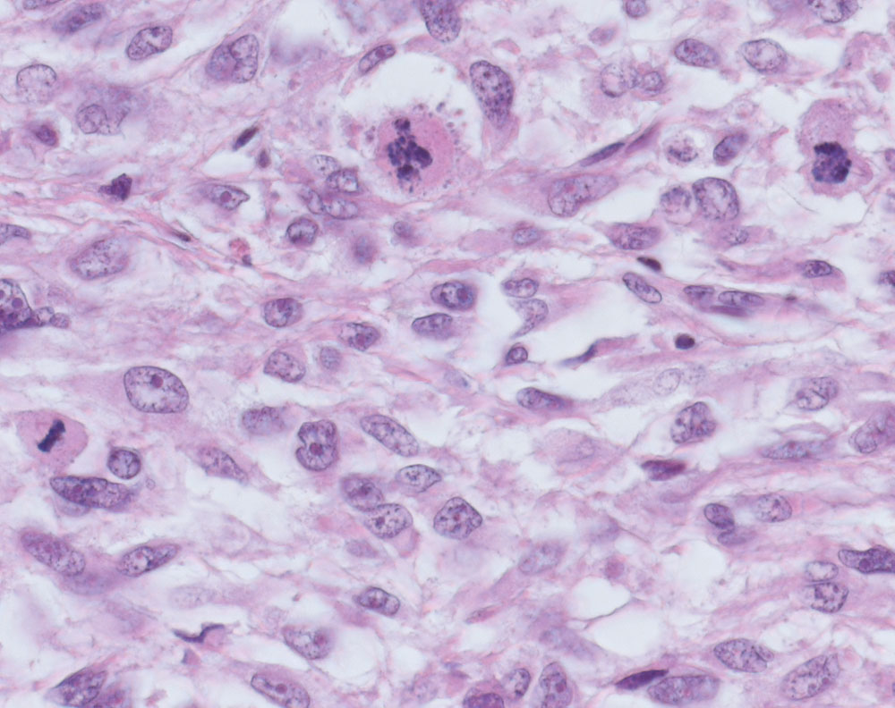
PathoPic ID 10242 - Uterines Leiomyosarkom
de
Diagnose
Uterines Leiomyosarkom
Diagnose Gruppe
maligner Tumor
Topographie
Uterus
Topographie Gruppe
Genitalorgane, weiblich
Beschreibung
Spindelförmige pleomorphe Tumorzellen mit reichlich kompaktem eosinophilem Zytoplasma. Drei
Mitosen, eine davon
atypisch.
Zusatzbefund
Durchmesser 16cm. 28 Mitosen/10 HPF. Tumornekrosen >50%. Gefässinvasion.
Klinik
Uterus myomatosus
Bilder Typ
Histologie
Vergrösserung
400
Alter
50
Geschlecht
unbekannt
Datum
Ersteintrag: 23.04.2009
Update: 04.02.2024
CPS
·
©
2024 Institut für Pathologie Basel
/
Dr. med. Katharina Glatz-Krieger
.
·
v2.1