Diagnose
Detritussynovialitis
Diagnose Gruppe
Entzündung / Reparatur
Topographie Gruppe
Knochen, Knorpel, Gelenke
Beschreibung
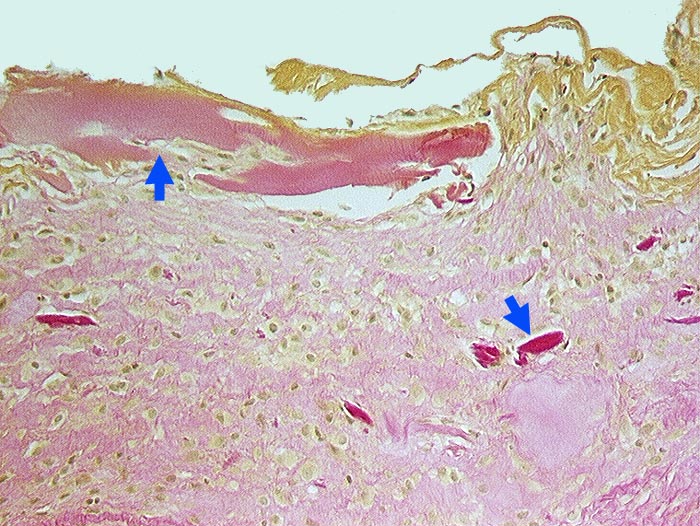
Fibrosierte Synovialis mit gelben Fibrinauflagerungen. Infiltratfreies Stroma mit zahlreichen ► avitalen Knochenfragmenten.
Klinik
Gonarthrose mit Nekrose der Tibiakondylen.
Datum
Ersteintrag: 18.04.2002
Update: 04.02.2024