Diagnose
Zystische Mediadegeneration Erdheim Gsell
Diagnose Gruppe
vaskulär / Durchblutungsstörung
Topographie
Aorta ascendens
Topographie Gruppe
Kardiovaskuläres System
Beschreibung
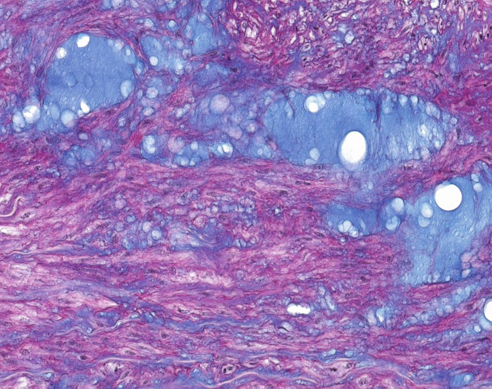
Fragmentierung der elastischen Fasern der Aortenmedia mit Ausbildung von zystenartigen Räumen. Die Elasticalücken sind gefüllt mit Alzianblau-positivem proteoglykanreichem mukoidem Material. Keine Entzündung.
Klinik
Aneurysma Aorta ascendens. Frage nach Marfan? Typ A Dissektion.
Kommentar
Die zystische Mediadegeneration ist ein unspezifisches morphologisches Muster, das unter anderem mit einem Marfan-Syndrom assoziiert sein kann. Multifaktoriell ausgelöstes Reaktionsmuster der Arterien vom elastischen Typ mit Verlust des kollagen-elastischen Fasergerüstes und Einlagerung von Mukopolysacchariden. Ätiologie: Gefässfehlbildungen wie Aortenisthmusstenose oder Aortenklappenstenose. Bindegewebserkrankungen wie Marfan Syndrom, Ehlers Danlos Syndrom, Osteogenesis imperfecta. Hypothyreose oder Hyperkortizismus. Arterielle Hypertonie. Stumpfes Bauchtrauma.
Am J Surg Pathol 2006 30 (9): 1159-67. Surgical Pathology of the Ascending Aorta. Homme JL et al.
Datum
Ersteintrag: 22.01.2010
Update: 04.02.2024