Diagnose
Kardiale AL-Amyloidose
Diagnose Gruppe
Systemerkrankung/Immunpathologie
Topographie Gruppe
Kardiovaskuläres System
Beschreibung
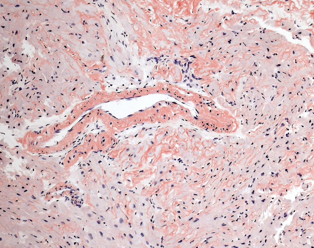
Interstitielle und vaskuläre kongorote Amyloidablagerungen.
Zusatzbefund
Interstitielle Knochenmarksinfiltration durch ein lambdaklonale Plasmazellneoplasie, Infiltrationsvolumen 15-20% der kernhaltigen Knochenmarkszellen. AL-Amyloidose der Knochenmarksgefässe.
Klinik
Zunehmende Dyspnoe über die vergangenen 2 Jahre. Multiples Myelom mit freien Leichtketten vom Typ Lambda. TTE: Ausgeprägt konzentrisch hypertropher linker Ventrikel mit normaler systolischer Globalfunktion ohne regionale Motilitätsstörungen (EF 60%). Diastolische Dysfunktion Grad 3 bis 4 (restriktive Füllungsmuster).
Datum
Ersteintrag: 11.03.2010
Update: 04.02.2024