Pathopic
HiPaKu
ZyPaKu
PathoBasic
PathoBasic Cytology
Quizzes
Projektinfos
PathoPic - Projekt- und Copyright-Infos
About
Pathopic
HiPaKu
ZyPaKu
PathoBasic
PathoBasic Cytology
Quizzes
PathoPic – image database
/
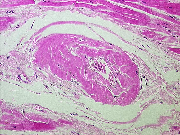
PathoPic ID 1062 - Senile Gefässamyloidose
de
Diagnose
Senile Gefässamyloidose
Diagnose Gruppe
Systemerkrankung/Immunpathologie
Topographie
Herz
Topographie Gruppe
Kardiovaskuläres System
Beschreibung
Azelluläre schollige Ablagerungen in einem intramyokardialen Gefäss.
Bilder Typ
Histologie
Alter
85
Geschlecht
weiblich
Datum
Ersteintrag: 28.11.2001
Update: 04.02.2024
CPS
·
©
2024 Institut für Pathologie Basel
/
Dr. med. Katharina Glatz-Krieger
.
·
v2.1