PathoPic – image database / PathoPic ID 1086 - Ulzerierter gastrointestinaler Stromatumor (GIST)

de
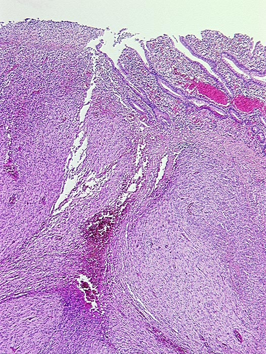
Diagnose
Ulzerierter gastrointestinaler Stromatumor (GIST)
Diagnose Gruppe
maligner Tumor
Topographie
Dünndarm
Topographie Gruppe
Darm, Anus
Beschreibung
Spindelzelliger von der Submukosa ausgehender Tumor. Links im Bild ist die Schleimhaut exulzeriert.
Zusatzbefund
Metastasierender GIST. S-100 negativ, SM-Actin herdförmig positiv, CD 117 (c-kit) positiv.
Bilder Typ
Histologie
Alter
70
Geschlecht
unbekannt
Datum
Ersteintrag: 28.11.2001
Update: 04.02.2024