PathoPic – image database / PathoPic ID 1087 - Gastrointestinaler Stromatumor (GIST)

de
Diagnose
Gastrointestinaler Stromatumor (GIST)
Diagnose Gruppe
maligner Tumor
Topographie
Dünndarm
Topographie Gruppe
Darm, Anus
Beschreibung
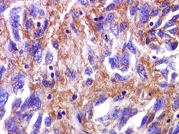
Spindelzelliger Tumor mit deutlichen Zellatypien. Das Zytoplasma der Tumorzellen reagiert positiv mit CD 117.
Zusatzbefund
Metastasierender GIST. S-100 negativ, SM-Actin herdförmig positiv, CD 117 (c-kit) positiv.
Bilder Typ
Histologie
Immunhistochemie
CD117 (c-Kit)
Alter
70
Geschlecht
unbekannt
Datum
Ersteintrag: 28.11.2001
Update: 04.02.2024