PathoPic – image database / PathoPic ID 1088 - Gastrointestinaler Stromatumor (GIST)

de
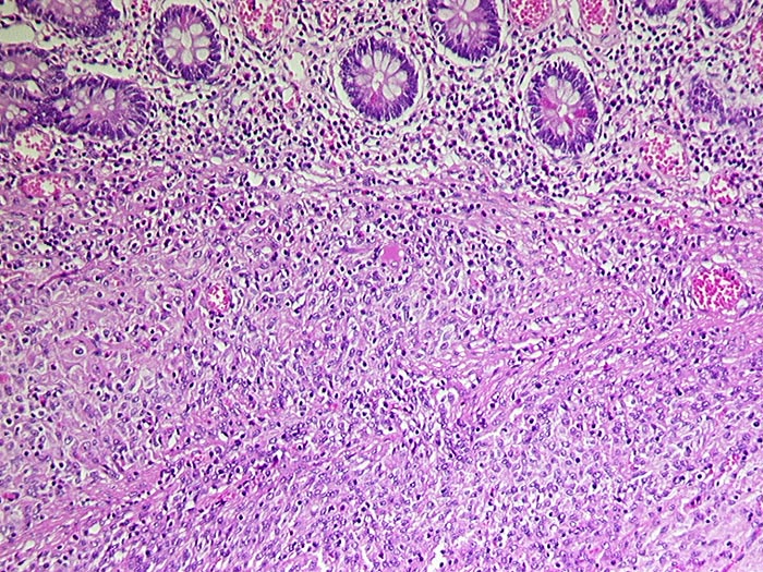
Diagnose
Gastrointestinaler Stromatumor (GIST)
Diagnose Gruppe
maligner Tumor
Topographie
Dünndarm
Topographie Gruppe
Darm, Anus
Beschreibung
Spindelzelliger, von der Submukosa ausgehender Tumor. Die Mukosa wird vom Tumor nicht infiltriert.
Zusatzbefund
Metastasen im mesenterialen Fettgewebe und in der Serosa. S-100 negativ, SM-Actin herdförmig positiv, CD 117 (c-kit) positiv.
Bilder Typ
Histologie
Alter
70
Geschlecht
unbekannt
Datum
Ersteintrag: 28.11.2001
Update: 04.02.2024