PathoPic – image database / PathoPic ID 1089 - Gastrointestinaler Stromatumor (GIST)

de
Diagnose
Gastrointestinaler Stromatumor (GIST)
Diagnose Gruppe
maligner Tumor
Topographie
Dünndarm
Topographie Gruppe
Darm, Anus
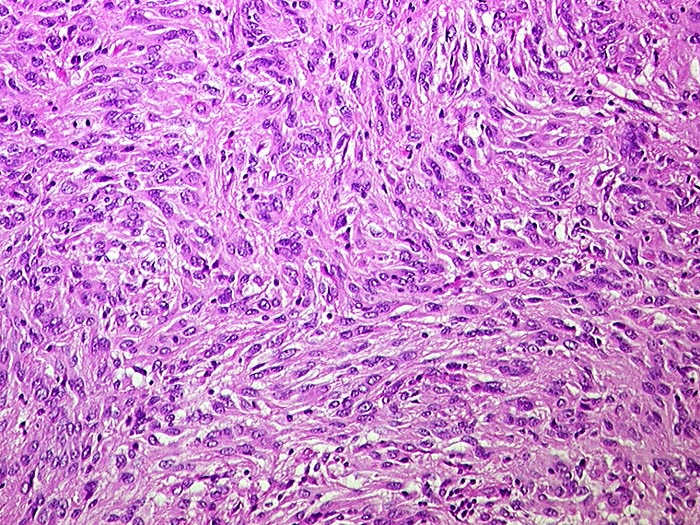
Beschreibung
Zellreicher mesenchymaler Tumor. Die spindeligen Tumorzellen zeigen geringgradige Atypien und bilden kleine Stränge mit unregelmässigem Verlauf.
Zusatzbefund
Metastasen im mesenterialen Fettgewebe und in der Serosa. S-100 negativ, SM-Actin herdförmig positiv, CD 117 (c-kit) positiv.
Bilder Typ
Histologie
Alter
70
Geschlecht
unbekannt
Datum
Ersteintrag: 28.11.2001
Update: 04.02.2024