PathoPic – image database / PathoPic ID 10933 - seröses Ovarialkarzinom high grade

de
Diagnose
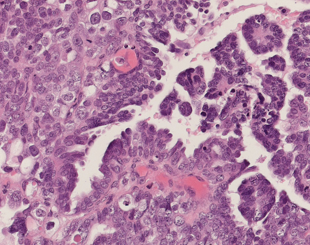
seröses Ovarialkarzinom high grade
Diagnose Gruppe
maligner Tumor
Topographie
Ovar
Topographie Gruppe
Genitalorgane, weiblich
Beschreibung
Teils solider, teils papillärer Tumor bestehend aus stark atypischen pleomorphen Tumorzellen mit starken Kerngrössenschwankungen. Mehrere Apoptosen.
Klinik
Verdacht auf Ovarialkarzinom (CA125 > 2000u/l). CT: Vergrösserte Ovarian beidseits. Maligner Pleuraerguss Adenokarzinom.
Kommentar
-
Bilder Typ
Histologie
Vergrösserung
200
Alter
58
Geschlecht
unbekannt
Datum
Ersteintrag: 10.11.2011
Update: 04.02.2024