PathoPic – image database / PathoPic ID 10935 - seröses Ovarialkarzinom high grade

de
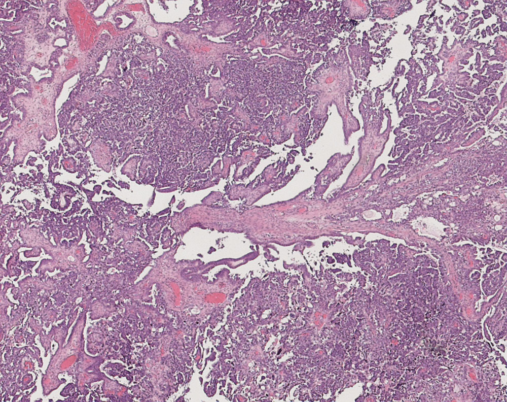
Diagnose
seröses Ovarialkarzinom high grade
Diagnose Gruppe
maligner Tumor
Topographie
Ovar
Topographie Gruppe
Genitalorgane, weiblich
Beschreibung
Papillärer Tumor. Drüsen mit schlitzförmigen Lumina.
Klinik
Verdacht auf Ovarialkarzinom (CA125 > 2000u/l). CT: Vergrösserte Ovarian beidseits. Maligner Pleuraerguss Adenokarzinom.
Kommentar
-
Bilder Typ
Histologie
Vergrösserung
25
Alter
58
Geschlecht
unbekannt
Datum
Ersteintrag: 10.11.2011
Update: 04.02.2024