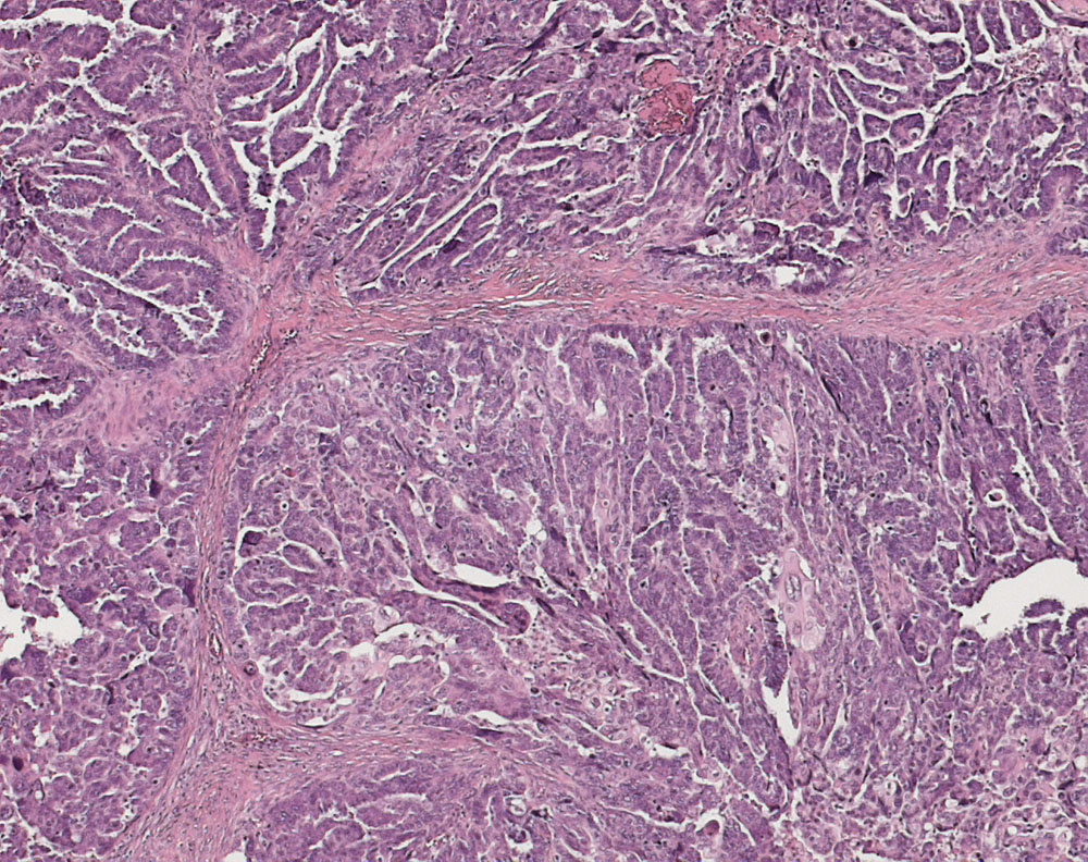
Diagnose
seröses Ovarialkarzinom high grade
Diagnose Gruppe
maligner Tumor
Topographie Gruppe
Genitalorgane, weiblich
Beschreibung
Papillen und Drüsen mit schlitzförmigen Lumina.
Klinik
Verdacht auf Ovarialkarzinom (CA125 > 2000u/l). CT: Vergrösserte Ovarian beidseits. Maligner Pleuraerguss Adenokarzinom.
Datum
Ersteintrag: 10.11.2011
Update: 04.02.2024