Diagnose
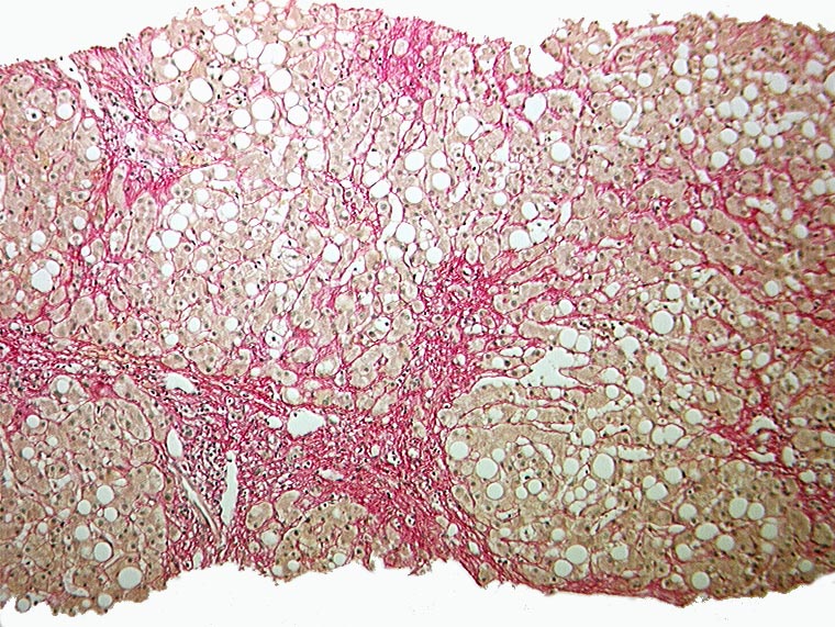
Sklerosierende Steatohepatitis, partieller zirrhotischer Umbau
Diagnose Gruppe
Therapiefolgen
Topographie Gruppe
Leber, Gallenwege, Pankreas
Beschreibung
Grobtropfige Verfettung. Maschendrahtfibrose. Portoportale Septenbildung.
Zusatzbefund
Unvollständiger zirrhotischer Umbau mit portoportaler Septenbildung.
Datum
Ersteintrag: 28.11.2001
Update: 04.02.2024