PathoPic – image database / PathoPic ID 1096 - Maschendrahtfibrose

de
Diagnose
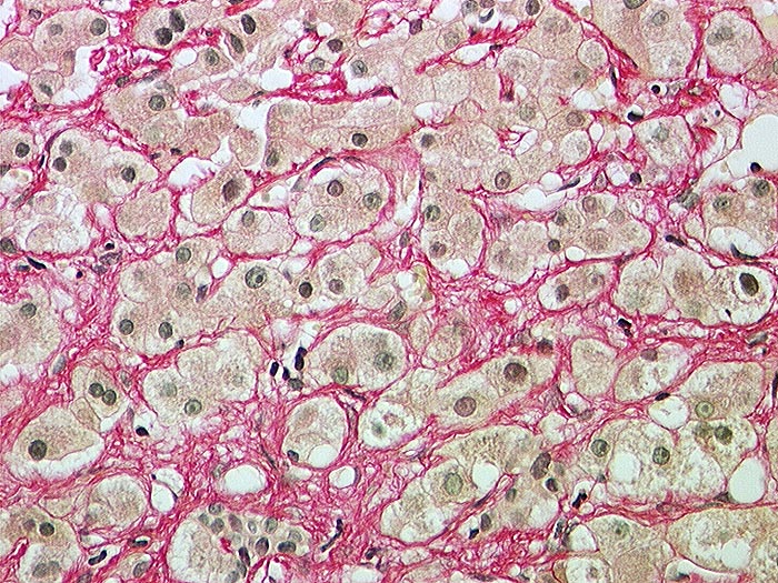
Maschendrahtfibrose
Diagnose Gruppe
Therapiefolgen
Topographie
Leber
Topographie Gruppe
Leber, Gallenwege, Pankreas
Beschreibung
Die Hepatozyten sind von einem feinen bindegewebigen Maschenwerk umgeben.
Zusatzbefund
Unvollständiger zirrhotischer Umbau mit portoportaler Septenbildung.
Klinik
Aethylabusus.
Bilder Typ
Histologie
Geschlecht
männlich
Datum
Ersteintrag: 28.11.2001
Update: 04.02.2024