PathoPic – image database / PathoPic ID 1101 - Metastase kleinzelliges Karzinom

de
Diagnose
Metastase kleinzelliges Karzinom
Diagnose Gruppe
maligner Tumor
Topographie
Lymphknoten, mediastinal
Topographie Gruppe
Lymphatische Gewebe, KM, Milz
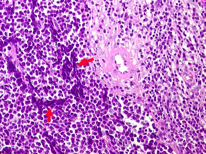
Beschreibung
Rechts im Bild Reste des Lymphknotengewebes mit einem bunten Gemisch verschiedenartiger Zellen. Links im Bild die im Vergleich mit Lymphozyten wenig grösseren nacktkernigen Tumorzellen mit typischen Quetschartefakten.
Klinik
Vergrösserte Lymphknoten supraklavikulär rechts, thorakal und mediastinal. Unbekannter Primärtumor.
Bilder Typ
Histologie
Alter
58
Geschlecht
unbekannt
Datum
Ersteintrag: 28.11.2001
Update: 04.02.2024