PathoPic – image database / PathoPic ID 1131 - Hyperplastischer Polyp

de
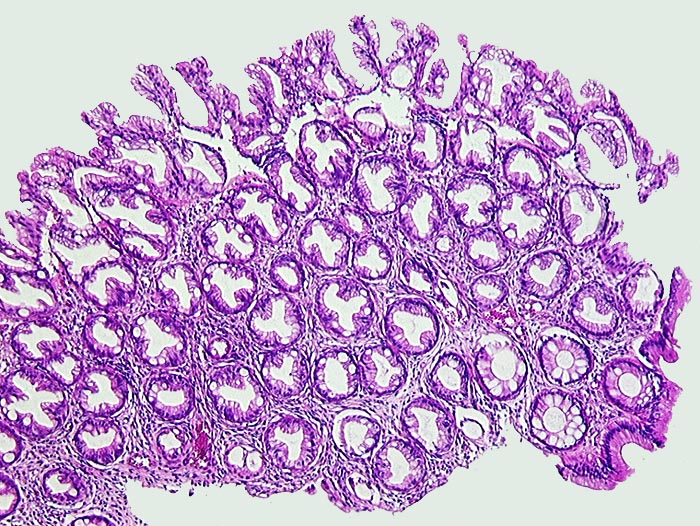
Diagnose
Hyperplastischer Polyp
Diagnose Gruppe
benigner Tumor
Topographie
Kolon Sigma
Topographie Gruppe
Darm, Anus
Beschreibung
Büschelartige und pseudopapilläre Epithelknospen ohne Atypien ergeben eine sägezahnartige Drüsenkonfiguration.
Bilder Typ
Histologie
Alter
38
Geschlecht
unbekannt
Datum
Ersteintrag: 30.11.2001
Update: 04.02.2024