Diagnose
HBs Antigen positive hepatitische Leberzirrhose
Diagnose Gruppe
Entzündung infektiös
Topographie Gruppe
Leber, Gallenwege, Pankreas
Beschreibung
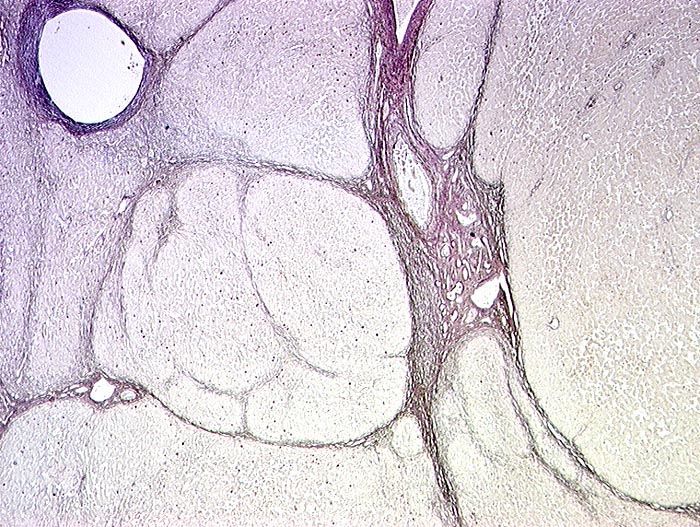
Pseudolobuli ohne Zentralvenen umgeben von Bindegewebe. Kleine braune Punkte in den Pseudolobuli entsprechen Hepatozyten mit HBs Antigen.
Datum
Ersteintrag: 30.11.2001
Update: 04.02.2024