PathoPic – image database / PathoPic ID 1164 - akute Hepatitis C Infektion mit Einzelzellnekrosen

de
Diagnose
akute Hepatitis C Infektion mit Einzelzellnekrosen
Diagnose Gruppe
Entzündung infektiös
Topographie
Leber
Topographie Gruppe
Leber, Gallenwege, Pankreas
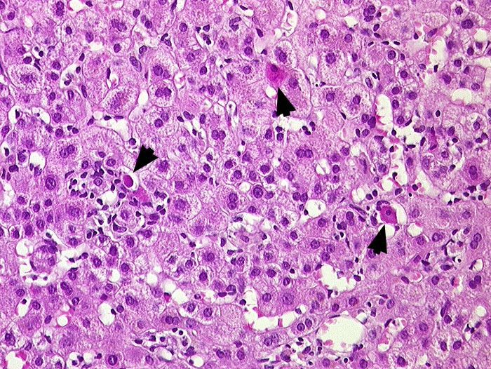
Beschreibung
Mononukleäres intralobuläres Entzündungsinfiltrat und zahlreiche hypereosinophile Apoptosekörperchen mit pyknotischen Kernen.
Zusatzbefund
Geringgradige portale Fibrose.
Klinik
Vor einem halben Jahr dokumentierte HCV Negativität. Jetzt HCV Antikörper im Serum positiv.
Bilder Typ
Histologie
Alter
20
Geschlecht
männlich
Datum
Ersteintrag: 30.11.2001
Update: 04.02.2024