PathoPic – image database / PathoPic ID 1220 - Chronische hypertrophe Bronchitis

de
Diagnose
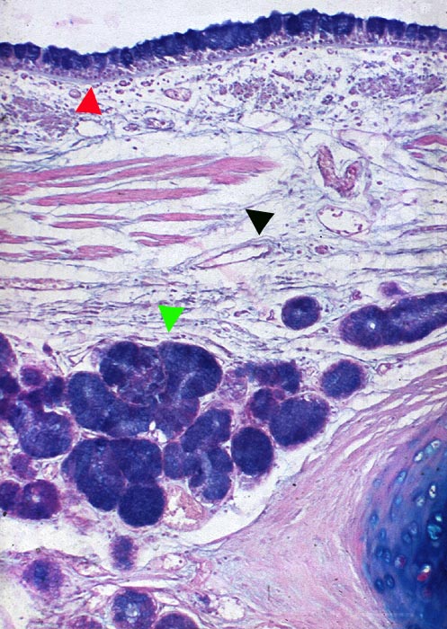
Chronische hypertrophe Bronchitis
Diagnose Gruppe
Entzündung / Reparatur
Topographie
Bronchus
Topographie Gruppe
Lunge, Mediastinum mit Thymus
Beschreibung
Hyperplasie und muköse Transformation der Schleimdrüsen. Hyperplasie der Becherzellen im Epithel. Leichte Verdickung der epithelialen Basalmembran. Hyperplasie der glatten Muskulatur.
Zusatzbefund
alpha-1-Antitrypsinmangel.
Bilder Typ
Histologie
Geschlecht
weiblich
Datum
Ersteintrag: 04.12.2001
Update: 04.02.2024