PathoPic – image database / PathoPic ID 1246 - Miliartuberkulose : produktives Granulom

de
Diagnose
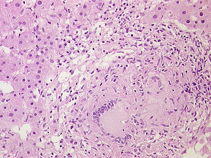
Miliartuberkulose : produktives Granulom
Diagnose Gruppe
Entzündung infektiös
Topographie
Leber
Topographie Gruppe
Leber, Gallenwege, Pankreas
Beschreibung
Nicht verkäsendes produktives Granulom aus Epitheloidzellen und einer Langhans'schen Riesenzelle mit hufeisenförmig angeordneten Kernen.
Bilder Typ
Histologie
Geschlecht
weiblich
Datum
Ersteintrag: 05.12.2001
Update: 04.02.2024