Diagnose
massive Lebernekrosen bei Halothanhepatitis
Diagnose Gruppe
Therapiefolgen
Topographie Gruppe
Leber, Gallenwege, Pankreas
Beschreibung
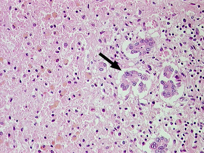
Nekrosezone mit passiver Hyperämie und zeroidbeladenen Makrophagen (gelbbraun). ► Ductulusproliferate rechts im Bild.
Datum
Ersteintrag: 05.12.2001
Update: 04.02.2024