Diagnose
massive Lebernekrosen bei Halothanhepatitis
Diagnose Gruppe
Therapiefolgen
Topographie Gruppe
Leber, Gallenwege, Pankreas
Beschreibung
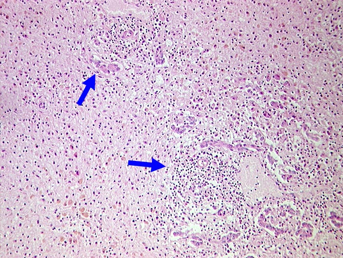
Nekrosezonen mit zeroidbeladenen Makrophagen (gelbbraun). ► Zwei Portalfelder sind durch die Nekrosen nahe aneinander gerückt. In den Portalfeldern lymphozytäres Entzündungsinfiltrat und Ductulusproliferationen. Kein vitales Leberparenchym.
Datum
Ersteintrag: 05.12.2001
Update: 04.02.2024