PathoPic – image database / PathoPic ID 1269 - Papilläres Nierenzellkarzinom basophiler Typ 1

de
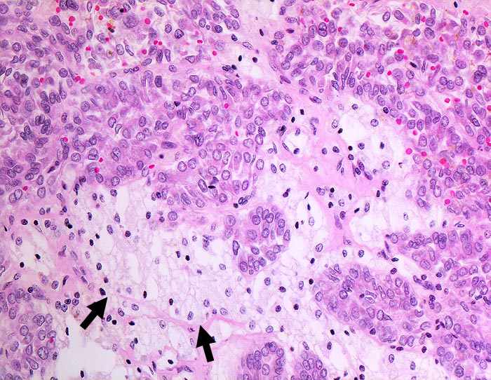
Diagnose
Papilläres Nierenzellkarzinom basophiler Typ 1
Diagnose Gruppe
maligner Tumor
Topographie
Niere
Topographie Gruppe
Niere, Harnwege
Beschreibung
Kleine basophile trabekulär (an anderer Stelle papillär) angeordnete Tumorzellen. Kleine ovale Kerne mit feinen Nukleolen. Charakteristische Ansammlung von Schaumzellen im Stroma.
Zusatzbefund
7cm grosser Tumor ohne Durchbruch der Nierenkapsel, ohne Einbruch ins Nierenbecken.
Kommentar
Basophile und eosinophile papilläre Nierenzellkarzinome zeigen unterschiedliche genetische Veränderungen. Der basophile Typ hat eine bessere Prognose als der eosinophile allerdings in der multivariaten Analyse nicht signifikant. Eosinophile Tumoren sind meist höhergradig (2-3) als basophile (1-2).
Aus: Moch et al. Cancer, August 1, 2000, Vol. 89 (3), S.604-614
Bilder Typ
Histologie
Alter
54
Geschlecht
männlich
Datum
Ersteintrag: 05.12.2001
Update: 04.02.2024