PathoPic – image database / PathoPic ID 1274 - Subakute Stauung

de
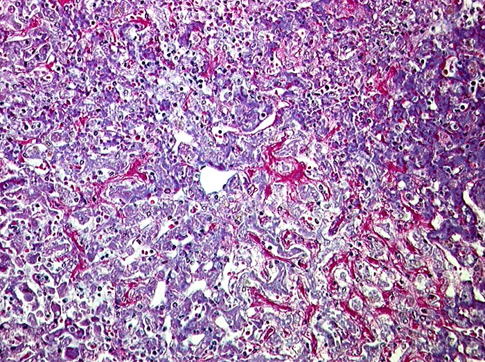
Diagnose
Subakute Stauung
Diagnose Gruppe
vaskulär / Durchblutungsstörung
Topographie
Leber
Topographie Gruppe
Leber, Gallenwege, Pankreas
Beschreibung
Znetralvene in der Mitte des Bildes. Die perivenulären Sinusoide sind prall gefüllt mit Blut. Die Leberzellbalken sind leicht verdünnt (druckatroph). Keine Fibrose.
Bilder Typ
Histologie
Geschlecht
weiblich
Datum
Ersteintrag: 05.12.2001
Update: 04.02.2024