Pathopic
HiPaKu
ZyPaKu
PathoBasic
PathoBasic Cytology
Quizzes
Projektinfos
PathoPic - Projekt- und Copyright-Infos
About
Pathopic
HiPaKu
ZyPaKu
PathoBasic
PathoBasic Cytology
Quizzes
PathoPic – image database
/
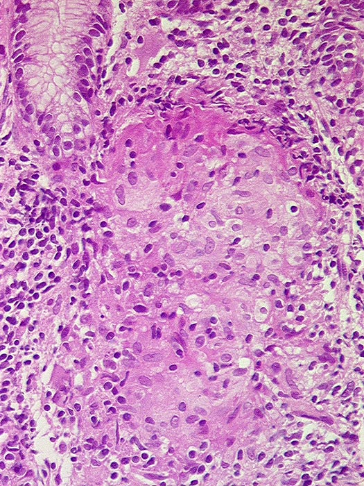
PathoPic ID 1284 - Morbus Crohn : Granulom
de
Diagnose
Morbus Crohn : Granulom
Diagnose Gruppe
Entzündung / Reparatur
Topographie
Magenkorpus
Topographie Gruppe
Oesophagus, Magen
Beschreibung
Chronisches Entzündungsinfiltrat mit epitheloidzelligem Granulom.
Zusatzbefund
Magenantrum ohne Befund.
Bilder Typ
Histologie
Alter
44
Geschlecht
männlich
Datum
Ersteintrag: 05.12.2001
Update: 04.02.2024
CPS
·
©
2024 Institut für Pathologie Basel
/
Dr. med. Katharina Glatz-Krieger
.
·
v2.1