Pathopic
HiPaKu
ZyPaKu
PathoBasic
PathoBasic Cytology
Quizzes
Projektinfos
PathoPic - Projekt- und Copyright-Infos
About
Pathopic
HiPaKu
ZyPaKu
PathoBasic
PathoBasic Cytology
Quizzes
PathoPic – image database
/
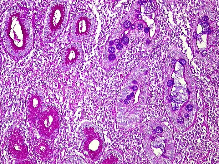
PathoPic ID 1302 - Intestinale Metaplasie
de
Diagnose
Intestinale Metaplasie
Diagnose Gruppe
Metaplasie / Heterotopie
Topographie
Magenantrum
Topographie Gruppe
Oesophagus, Magen
Beschreibung
Links PAS positive Schleimdrüsen des Magenantrums. Rechts metaplastische Drüsen, welche alcianblaue Becherzellen enthalten. Dicht entzündlich infiltriertes Stroma.
Bilder Typ
Histologie
Geschlecht
weiblich
Datum
Ersteintrag: 05.12.2001
Update: 04.02.2024
CPS
·
©
2024 Institut für Pathologie Basel
/
Dr. med. Katharina Glatz-Krieger
.
·
v2.1