PathoPic – image database / PathoPic ID 132 - Koronarembolie bei Endocarditis marantica

de
Diagnose
Koronarembolie bei Endocarditis marantica
Diagnose Gruppe
organspezifische Erkrankung
Topographie
Arteria coronaris
Topographie Gruppe
Kardiovaskuläres System
Beschreibung
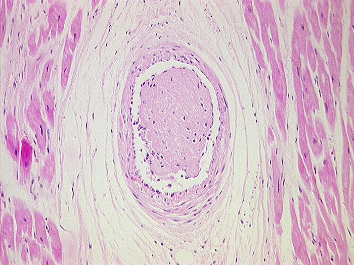
In einem intramyokardialen arteriellen Gefäss liegt ein frischer Fibrinthrombus, der sich aus der Vegetation (Fibrin!) einer Endocarditis marantica gelöst hat.
Zusatzbefund
non bacterial thrombotic endocarditis
Klinik
Endocarditis marantica bei Tumorleiden. Todesursache ist ein koronarembolischer Myokardinfarkt.
Bilder Typ
Histologie
Geschlecht
männlich
Datum
Ersteintrag: 25.10.2001
Update: 04.02.2024